Odontología avanzada en Costa Teguise, Lanzarote
Tu clínica dental de confianza en Costa Teguise
En BEJA Dental contamos con todos los tratamientos necesarios para cuidar de la sonrisa de toda la familia. Nuestro enfoque es siempre conservador, priorizando la prevención y la preservación de tus dientes naturales durante el mayor tiempo posible. Combinando tratamientos de vanguardia con una atención cercana y personalizada, en Costa Teguise, Lanzarote.
Periodoncia
Más Información
La periodoncia es la rama de la odontología especializada en prevenir, diagnosticar y tratar las enfermedades que afectan a los tejidos de soporte del diente: encías, ligamento periodontal, cemento radicular y hueso alveolar.
En nuestra clínica dental en Costa Teguise, abordamos cada caso con un estudio detallado de la salud periodontal del paciente, con el objetivo de diseñar el tratamiento más adecuado para recuperar la salud de sus encías y del hueso de soporte afectado por la periodontitis, y mantener ambos a largo plazo.
EMPASTES Y RECONSTRUCCIONES
Más Información
La caries dental es una enfermedad multifactorial que afecta a personas de todas las edades. Está causada por la desmineralización del esmalte debido a los ácidos producidos por las bacterias de la placa, especialmente cuando existe una higiene oral deficiente, una dieta rica en azúcares o factores genéticos. Si no se trata a tiempo, puede avanzar y afectar capas más profundas del diente, comprometiendo su estructura y funcionalidad.
En BEJA Dental en Costa Teguise, utilizamos materiales estéticos y biocompatibles, como composites de última generación, que se integran de forma natural con la dentición y ofrecen una excelente durabilidad. En casos de pérdida extensa de tejido, las reconstrucciones permiten reforzar el diente y evitar tratamientos más complejos en el futuro.
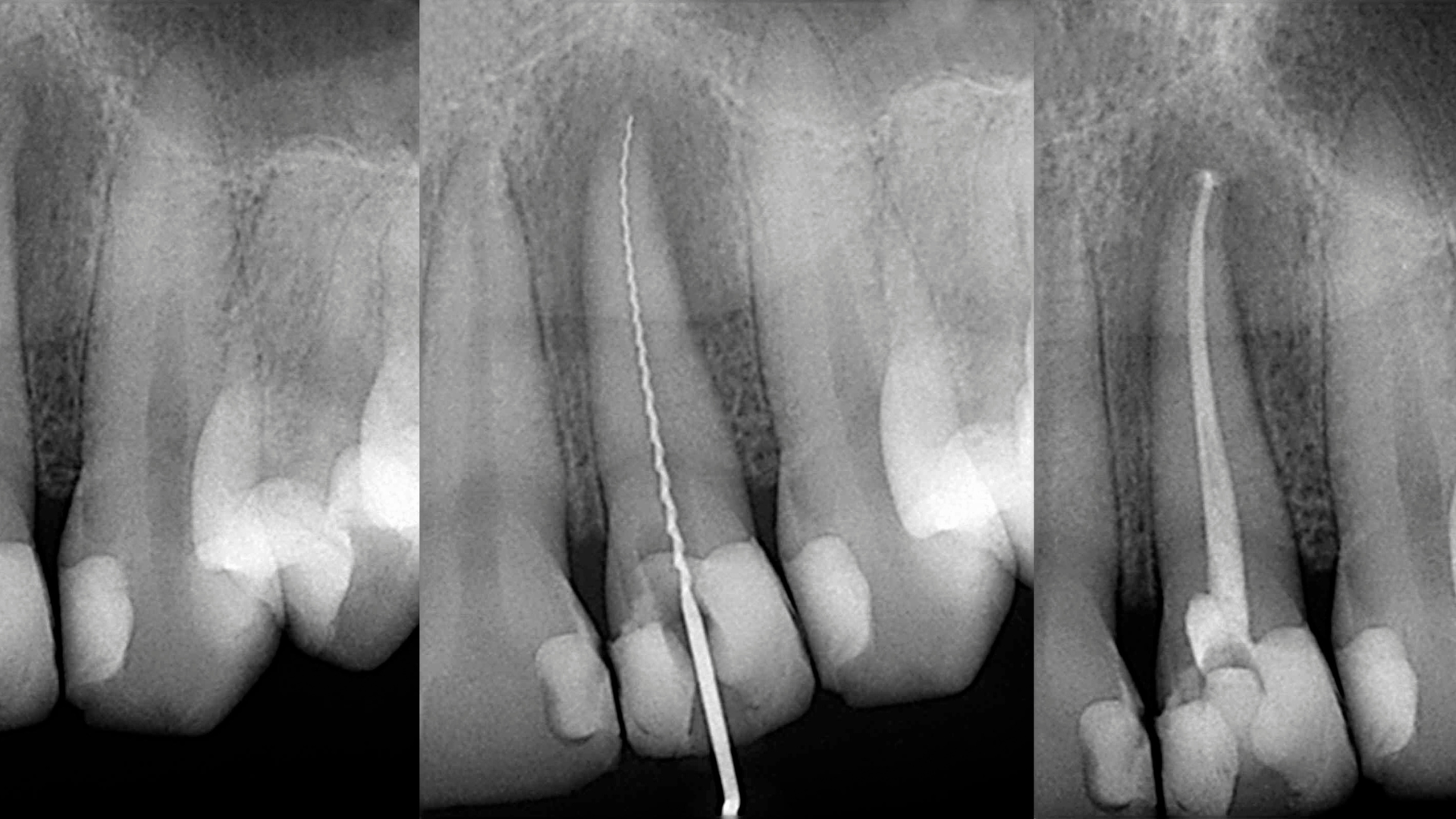
Endodoncia
Más Información
La endodoncia es un tratamiento conservador indicado cuando la pulpa dental está dañada de forma irreversible y una restauración convencional ya no es suficiente. Su objetivo es eliminar el tejido afectado del interior del diente, desinfectar los conductos radiculares y permitir una reconstrucción adecuada, evitando así la extracción de la pieza.
En nuestra clínica disponemos de tecnología CBCT de alta definición, que nos permite realizar un estudio tridimensional (3D) del diente y abordar el tratamiento del conducto con mayor precisión que con una radiografía convencional.
Bruxismo y ATM
Más Información
El bruxismo es una alteración que consiste en apretar o rechinar los dientes de forma involuntaria, especialmente durante el sueño, y suele estar relacionado con el estrés y la ansiedad. Esta condición puede provocar desgaste dental, sensibilidad, dolores musculares, de cabeza o molestias en la articulación temporomandibular (ATM), que es la encargada de unir la mandíbula al cráneo y permitir los movimientos de la boca.
Para tratar el bruxismo y los problemas en la ATM, es fundamental identificar la causa. Según cada caso, se puede recurrir a férulas de descarga, fisioterapia o técnicas de relajación.
Coronas e incrustaciones dentales
Más Información
- Una corona dental es una prótesis dental fija que se coloca sobre un diente dañado o debilitado para devolverle su forma, tamaño, fuerza y mejorar su apariencia. El objetivo principal de este tratamiento es conservar una pieza dental que, de otro modo, podría perderse.
- La incrustación dental es un tratamiento restaurador conservador que se utiliza para reparar piezas dentales dañadas por caries o fracturas, especialmente cuando la pérdida de estructura no es tan extensa como para requerir una corona. Se elabora a medida en el laboratorio y se coloca sobre el diente previamente preparado, devolviéndole su forma, función y estética. Su principal ventaja es que permiten conservar gran parte del diente sano, ofreciendo una solución duradera y estética.
Odontopediatría
Más Información
La odontopediatría es la rama de la odontología encargada del cuidado bucodental de los niños desde la infancia hasta la adolescencia. Su objetivo principal es prevenir y tratar enfermedades dentales en los más pequeños, así como fomentar hábitos de higiene oral adecuados desde una edad temprana.
Entre sus tratamientos más comunes se encuentran la limpieza y fluorización dental, el sellado de fisuras, el tratamiento de caries en dientes temporales, las pulpotomías, y el control del desarrollo de la dentición y la mordida. La odontopediatría también se enfoca en crear una experiencia positiva desde la infancia para evitar el miedo al dentista.
Resolvemos todas tus dudas sobre odontología avanzada
» ¿Qué es la odontología avanzada?
La odontología avanzada engloba tratamientos de alta precisión y tecnología que permiten resolver casos complejos con resultados más seguros, duraderos y mínimamente invasivos. Combina las últimas técnicas y herramientas digitales para ofrecer una atención personalizada y de vanguardia.
» ¿Cuándo debe ir un niño por primera vez al dentista?
Se recomienda que un niño acuda por primera vez al dentista alrededor del primer año de vida o cuando le haya salido el primer diente. Esta visita temprana permite al odontopediatra revisar el desarrollo dental, detectar posibles alteraciones a tiempo y asesorar a los padres sobre higiene oral, hábitos alimenticios y uso del chupete o biberón. Además, sirve para que el niño se familiarice con el entorno dental de forma positiva, lo que reduce el riesgo de miedo o ansiedad en futuras visitas. A partir de ahí, se aconsejan revisiones cada 6 a 12 meses, según las necesidades del pequeño.
» ¿En qué consiste un tratamiento de periodoncia?
Un tratamiento de periodoncia se enfoca en prevenir, diagnosticar y tratar las enfermedades que afectan a los tejidos que rodean y sostienen los dientes, como las encías, el ligamento periodontal y el hueso alveolar. El objetivo principal es detener el avance de enfermedades como la gingivitis o la periodontitis, que pueden causar inflamación, sangrado, movilidad dental e incluso la pérdida de dientes si no se tratan a tiempo. El tratamiento puede incluir limpiezas profundas (curetajes), alisado radicular, control de la placa bacteriana, mantenimiento periodontal y, en casos más avanzados, cirugía regenerativa o de acceso. Además, se hace un seguimiento personalizado para asegurar la estabilidad de la salud periodontal a largo plazo.
» ¿Los tratamientos dentales son dolorosos?
En general, los tratamientos dentales no deberían causar dolor gracias al uso de anestesia local cuando es necesaria. En BEJA Dental, tomamos todas las precauciones necesarias para que los tratamientos que realizamos sean seguros e indoloros.
» ¿En qué consiste un tratamiento de endodoncia?
Un tratamiento de endodoncia, comúnmente conocido como «tratamiento de conducto», consiste en eliminar la pulpa dental dañada o infectada del interior del diente (nervio), limpiar y desinfectar los conductos radiculares, y luego sellarlos para evitar nuevas infecciones. Se realiza cuando la pulpa está afectada por caries profundas, traumatismos, fisuras o infecciones. El objetivo es conservar el diente natural, aliviando el dolor y evitando su extracción. Tras la endodoncia, el diente puede necesitar una reconstrucción o una corona para devolverle su funcionalidad y resistencia. Es un tratamiento seguro, eficaz y conservador que permite mantener la pieza dental en boca.
» ¿Puede volver a salir caries en un diente empastado?
La respuesta es sí. Un diente está compuesto por varias capas y cuando realizamos un empaste dental solo tratamos el tejido cariado, pudiéndose originar caries en otra superficie del diente.
» ¿Cuándo debo realizarme un tratamiento de bruxismo y ATM?
Debes considerar un tratamiento para bruxismo o disfunción de la articulación temporomandibular (ATM) si presentas síntomas como:
Dolor o rigidez en la mandíbula, especialmente al despertar.
Rechinar o apretar los dientes, ya sea consciente o durante el sueño.
Desgaste dental visible o fracturas en los dientes.
Dolores de cabeza, cuello u oído frecuentes sin causa aparente.
Ruidos o chasquidos al abrir o cerrar la boca.
Dificultad o limitación para abrir completamente la boca.
El tratamiento puede incluir férulas de descarga, fisioterapia, control del estrés, y en algunos casos, abordajes más específicos.
» ¿Cada cuánto tiempo hay que realizarse una limpieza dental?
La periodicidad con que debe realizarse una limpieza dental varía en cada persona según sus hábitos de higiene bucal. No obstante, se recomienda realizarse mínimo una al año y acudir al dentista para comprobar que tu salud bucodental se mantiene en perfectas condiciones.
Valoración personalizada gratuita
¡Déjanos cuidar de tu salud dental!

